NON PERDERE TEMPO, PROTEGGI DA SUBITO I DENTI DEL TUO BAMBINO
Le sigillature dentali sono la soluzione permanente per proteggere i denti del tuo bambino dalla carie
La famosa frase “prevenire è meglio che curare” oggi ha un significato molto ampio su tutti gli aspetti della salute del nostro corpo. Ma come forse sai è stata inventata da una nota marca di dentifrici proprio a riguardo della prevenzione orale.
Quando si parla di carie questo concetto è ancora più importante perché, purtroppo, dalla carie non si guarisce.


In che senso ti starai chiedendo, te lo spiego subito: se prendi un raffreddore, l’influenza o la bronchite, quando guarisci non hai più la malattia, torni sano. Nel caso della carie invece, per curarla, bisogna rimuovere la parte di dente ammalata e fare un otturazione. La carie non c’è più è vero ma il dente non è tornato sano ha “ un buco chiuso con un materiale specifico”.
Capisci quindi che la cosa più importante è fare in modo che i denti non si carino mai.
Ecco che le SIGILLATURE DENTALI aiuteranno tuo figlio ad evitare che si carino i denti, ma non c’è tempo da perdere, la sigillatura va fatta sui denti ancora sani quindi appena spuntano completamente i primi denti permanenti.
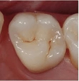
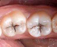
Ti spiego bene cosa è in pratica una sigillatura:

La parte del dente che mastica è formata da punte ( cuspidi ) e solchi. Quando si mastica il cibo schiacciato dai denti rimane intrappolato nei solchi, soprattutto cibi come cereali, crackers, biscotti, cioccolata, tutti alimenti, tra l’altro molto consumati dai bambini.

Rimuovere questi alimenti dal dente con lo spazzolino non è sempre facile per tre motivi, il primo è che sono residui molto consistenti e le setole fanno fatica a rimuoverli, il secondo è che i solchi molte volte sono stretti e le setole proprio non entrano in profondità a sufficienza per rimuovere il cibo in profondità, il terzo è dovuto al fatto che i bambini hanno difficoltà tecniche ad eseguire un corretto lavaggio dei denti. Quello che succede è che la parte del dente che mastica si caria proprio in età infantile.

La sigillatura consiste nel far penetrare in materiali liquido come l’acqua nei solchi ben preparati e puliti, con una lampada speciale si fa indurire il materiale che rimane intrappolato nel solco del dente. A questo punto il solco è già “pieno” del mio materiale e non si può infilare il cibo.
Il dente sigillato quindi è protetto dalla carie nella parte che mastica e che è più soggetta a cariarsi.
Ti chiederai perché allora sigillare i denti solo ai bambini, ti rispondo subito.
Come ti dicevo i bambini consumano, di solito, cibi che contengono più zuccheri o amidi rispetto agli adulti e questo li predispone alla carie. Un altro motivo è, come ti ho già detto, che i bambini riescono a lavare i denti in maniera meno accurata. C’è poi l’età della pre adolescenza e dell’adolescenza è una trasformazione sia fisica che caratteriale. Spesso in questa fase alcuni ragazzi trascurano l’igiene orale, oltre al fatto che il cambiamento ormonale porta a una maggior formazione di placca batterica. Anche questa fase quindi è una fase a rischio.
Per questi motivi è importante effettuare le sigillature appena spuntano i denti permanenti proteggendoli fin da subito.
Ovviamente si possono sigillare i denti anche più tardi se non è stato fatto prima, soprattutto prima dell’adolescenza.
Ma negli adulti? In via di principio tutti i denti traggono vantaggio dalla sigillatura ma dal lato pratico se in età adulta un dente non si è cariato vuol dire che per la sua conformazione, per una ridotta predisposizione alla carie, per una buona igiene orale, difficilmente si carierà in futuro.
Purtroppo quello che mi capita più frequentemente è visitare ragazzi o adulti che hanno già otturazioni su denti che si sono cariati in passato. Le sigillature avrebbero ridotto il rischio che questi denti si cariassero.
Per tutti questi motivi, se il tuo bambino non ha ancora fatto le sigillature non perdere tempo chiama in studio 051822977 e prenota una visita per controllare lo stato di salute dei denti e l’eventuale necessità di fare le sigillature.